Dental Smile Gallery in Covington LA

Dentistry Before and After Photos in Covington

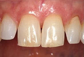
before

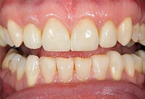
Before

Cossich Family Dentistry | Preventative Program, Sports Mouthguards and Cosmetic Dentistry

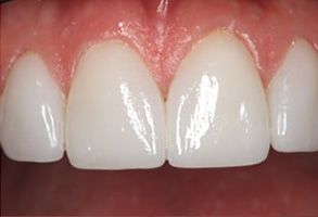
After

Cossich Family Dentistry | Dental Fillings, Root Canals and All-on-6 reg

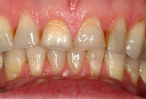
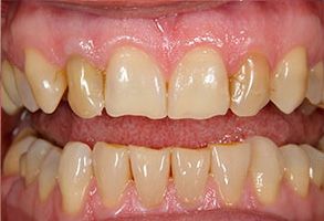
Before

Cossich Family Dentistry | ClearCorrect reg , Night Guards and Implant Dentistry

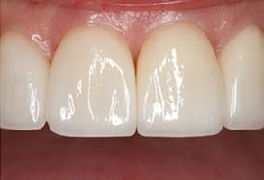
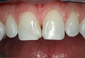
After

Cossich Family Dentistry | Ceramic Crowns, Emergency Treatment and Teeth Whitening

Before

Cossich Family Dentistry | Extractions, Periodontal Treatment and Sedation Dentistry

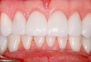
After

Cossich Family Dentistry | Periodontal Treatment, Digital Radiography and All-on-6 reg

Before

Cossich Family Dentistry | Digital Radiography, Laser Dentistry and Preventative Program

After

Cossich Family Dentistry | Invisalign reg , Dental Cleanings and Emergency Treatment

Before

Cossich Family Dentistry | Teeth Whitening, Invisalign reg  and Periodontal Treatment

After

Cossich Family Dentistry | Dental Fillings, Dental Cleanings and Periodontal Treatment

Before

Cossich Family Dentistry | Preventative Program, Dental Fillings and Emergency Treatment

After

Cossich Family Dentistry | Ceramic Crowns, Cosmetic Dentistry and All-on-6 reg

Before

Cossich Family Dentistry | Sleep Apnea, Pediatric Dentistry and Emergency Treatment

After

Schedule a visit today!
Contact Us
Submit

Thank You!

We appreciate you taking the time to visit our site. We'll review your message and be in touch with you soon.

Continue
Cosmetic Dentist in Covington LA